Το αγόρι μεταφέρθηκε από τους γονείς του στο νοσοκομείο ΠΑΓΝΗ
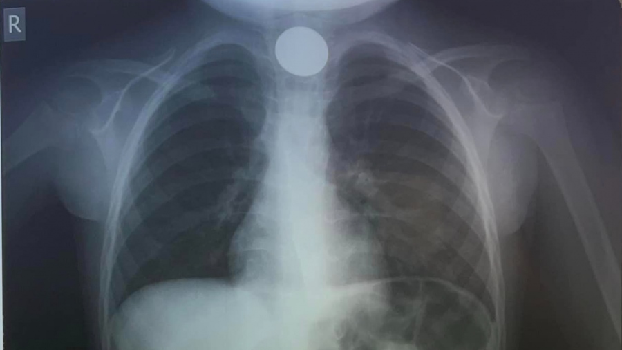
Αγωνία επικράτησε στην Κρήτη, και ειδικότερα στο Ηράκλειο, για 4χρονο αγόρι, αφού το παιδί κατάπιε κέρμα που του στάθηκε στον λαιμό.
Οπως μεταδίδουν τα τοπικά μέσα, ο μικρός μεταφέρθηκε από τους γονείς του στο νοσοκομείο ΠΑΓΝΗ, μόλις λίγες ώρες πριν την είσοδο του 2024.
Φυσικά οι θεράποντες ιατροί έσπευσαν να του κάνουν ακτινογραφία, προκειμένου να εντοπίσουν το σημείο που είχε σταθεί το νόμισμα.
Τελικώς, οι γιατροί στο ΠΑΓΝΗ αντιμετώπισαν με επιτυχία το περιστατικό και το 4χρονο παιδί επέστρεψε σπίτι του και άλλαξε χρόνο με την οικογένειά του.
www.bankingnews.gr
Οπως μεταδίδουν τα τοπικά μέσα, ο μικρός μεταφέρθηκε από τους γονείς του στο νοσοκομείο ΠΑΓΝΗ, μόλις λίγες ώρες πριν την είσοδο του 2024.
Φυσικά οι θεράποντες ιατροί έσπευσαν να του κάνουν ακτινογραφία, προκειμένου να εντοπίσουν το σημείο που είχε σταθεί το νόμισμα.
Τελικώς, οι γιατροί στο ΠΑΓΝΗ αντιμετώπισαν με επιτυχία το περιστατικό και το 4χρονο παιδί επέστρεψε σπίτι του και άλλαξε χρόνο με την οικογένειά του.
www.bankingnews.gr
Σχόλια αναγνωστών